Hallux valgus
(Ballenzehe)
Erfahren Sie mehr über das Krankheitsbild
Über das Krankheitsbild
Über den Hallux valgus und dessen Behandlung wurde wahrscheinlich im Bereich der Fußchirurgie am meisten geschrieben, publiziert und gesprochen. Über die Entstehung dieser Deformität werden verschiedene Mechanismen diskutiert,fest steht: wenn der Hallux valgus einmal da ist bleibt er auch und wird im Lauf der Zeit auch mehr Probleme bereiten, denn die konservativen Behandlungsmöglichkeiten fallen spärlich aus.
OP-Techniken
Es wurden bisher gut 100 verschiedene OP-Techniken publiziert um die Hallux valgus Fehlstellung zu beheben. Aus der Menge der Verfahren sollte sich ein Operateur nur weniger Techniken bedienen, die er sicher beherrscht und so zum Einsatz kommen. Das OP-Verfahren sollte individuell an die Begebenheiten des Fußes angepasst werden. Hierzu ist eine persönliche Untersuchung des ganzen Fußes durch den Operateur erforderlich.
OP-Verfahren
Welches OP-Verfahren dann bei Ihrer OP zum Einsatz kommt und was die Gründe hierfür sind erkläre ich Ihnen persönlich nach meiner Untersuchung Ihres Fußes und anhand der Röntgenbilder. Eine Kernspintomographie ist in der Regel nicht erforderlich. Der geplante Eingriff kann ambulant oder kurzstationär durchgeführt werden. Eine kurze, oberflächliche Vollnarkose wird dafür erforderlich. Ich begleite Sie persönlich-angefangen von der Vorbereitung einer OP bis zum Ende der Nachbehandlung detailliert und individuell angepasst.
Sie sehen gerade einen Platzhalterinhalt von YouTube. Um auf den eigentlichen Inhalt zuzugreifen, klicken Sie auf die Schaltfläche unten. Bitte beachten Sie, dass dabei Daten an Drittanbieter weitergegeben werden.
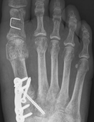
Mehr InformationenExemplarische Röntgenbilder vor und nach OP bei Hallux valgus
Orthopraxis Gräfelfing
Dr. med. Ulrich Pfleghar
Ich halte meine Sprechstunden in Gräfelfing in meiner eigenen Praxis ab.
089 / 898 20 20 30
info@orthopraxis-graefelfing.de
Bahnhofstraße 5
82166 Gräfelfing
